Oralna kirurgija je grana dentalne medicine bez koje neke druge grane naprosto ne bi bile učinkovite. To se osobito odnosi na parodontologiju i implantologiju.
Regeneracija i/ili transplantacija uništenih mekih i tvrdih zubnih tkiva kao i ugradnja implantata nije moguća bez primjene oralno kirurških zahvata.
Oralna kirurgija obuhvaća sve postupke koji zahtijevaju rezanje bilo da se radi o uklanjanju tkiva i/ili zubi iz usne šupljine, pripremi tkiva za ugradnju implantata, uklanjanje mekih i tvrdih tkiva zahvaćenih bolestima koje nisu uspješno sanirane prethodnim terapijama.
Najčešći oralno kirurški zahvat je uobičajeno ili komplicirano vađenje zuba kad je to neophodno s ciljem sprječavanja širenja oštećenja ili vraćanja funkcionalnosti (duboki karijes, uznapredovali parodontitis, vađenje zaostalih korijena, vađenje neizraslih ili krivo izraslih umnjaka i sl.)
Operativno uklanjanje vrha zubnog korijena (apikotomija) je oralno kirurški zahvat koji predstavlja zadnji način spašavanja zuba kojem se upalni procesi ne mogu izliječiti klasičnim endodontskim tretmanom.
Jedna od mogućih posljedica dugotrajnog nedostatka zuba ili parodontitisa je propadanje koštanog tkiva što otežava ili u potpunosti sprječava mogućnost ugradnje implantata. Da bi se stvorili uvjeti potrebni za ugradnju mora se pristupiti pred - protetskim, oralno kirurškim zahvatima.
Priprema mekih i tvrdih tkiva za ugradnju protetskih nadomjestaka podrazumijeva:
- nivelaciju kosti (ravnanje koštane strukture). To je oralno kirurški zahvat kojim se rješavaju nepravilnosti (neravnine) grebena u donjoj i gornjoj čeljusti,
- podizanje dna sinusa (sinus lift) je oralno-kirurški zahvat kojim se dno sinusa podiže na početnu poziciju kako bi se mogla izvršiti nadogradnja kosti potrebna za ugradnju zubnih implantata.
- vođena regeneracija kosti - ako zbog propadanja koštanog tkiva ne postoji dovoljna visina i širina grebena čeljusti za ugradnju implantata, koštano tkivo mora se nadograditi oralno kirurškim zahvatom na potrebnu visinu i širinu.
Osim navedenih zahvata, oralna kirurgija obuhvaća i estetske korekcije u usnoj šupljini, rekonstrukciju povlačenja zubnog mesa te parodontološke kirurške zahvate koji se rade na mekom tkivu oko zuba ili implantata s ciljem postizanja maksimalnih estetskih rezultata.
- nivelaciju kosti (ravnanje koštane strukture prije zahvata)
- podizanje dna sinusa gornje čeljusti prilikom ugradnje implantata
- obnovu estetskih i funkcionalnih nedostataka usne šupljine
- ostale kirurške zahvate dentalnog sustava
- vođena regeneracija kosti
Najčešći oralno kirurški zahvati su uobičajeno i komplicirano vađenje zubi, neizraslih i retiniranih umnjaka, te vađenje zaostalih i slomljenih korijena zubi. Oralna kirurgija obuhvaća još i kirurgiju desni, rekonstrukciju estetskih i funkcionalnih poremećaja usne šupljine.
Estetske korekcije u usnoj šupljini
Estetskim korekcijama zubnog mesa uklanja se estetski nesklad omjera zubne krune i vidljivih desni koji može biti uzrokovan genetskim nasljeđem ili oštećenjima nastalim kao posljedica karijesa, frakture zuba ili nepravilne oralne higijene.
Estetske korekcije su kirurški zahvati kojima se saniraju se pojave poput previše vidljivog zubnog mesa ili povučenog zubnog mesa koje narušavaju estetiku osmjeha.
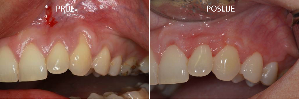
Sanacija povlačenja zubnog mesa - prije i poslije
Sanacija povlačenja zubnog mesa - prije i poslije
Kod pojave povlačenja zubnog mesa otkriva se korijen zuba što dodatno može prouzročiti osjetljivost zuba na toplo / hladno kao i opasnost od propadanja.
Rekonstrukcijom zubnog mesa se prekriva otkriveni korijen dok se kod pojave previše vidljive gingive kirurškim zahvatom otklanja suvišni dio u zoni osmjeha čime se produžuje klinička kruna zuba a osmjeh postaje usklađeniji.
Frenulektomija
Vezivno tkivo koje povezuje unutarnji dio gornje i donje usnice s desnima naziva se frenulum. U nekim situacijama zbog nepravilnog razvoja, frenulum može stvarati funkcionalne poteškoće prilikom govora / žvakanja a može utjecati da se između sjekutića pojavi neprirodni razmak (diastema).
Problemi uzrokovani nepravilno izraslim frenulumom rješavaju se malim kirurškim zahvatom koji se zove frenulektomija.
Ako se problem nepravilnog frenuluma kirurški riješi u razdoblju rasta i razvoja čeljusti, razmak među sjekutićima može se spontano smanjiti i nestati. U odrasloj dobi za otklanjanje diasteme potrebno je pristupiti ortodontskoj terapiji.
Frenulektomijom će se, istovremeno, u potpunosti otkloniti smetnje pri govoru i žvakanju



